Tistoryview
Disease&Treatment/Neuro-ophthalmology
Methanol-Induced Toxic Optic Neuropathy (TON), formic acid (formate) toxicity, blindness
eye_doc 2025. 4. 20. 01:34๐ Methanol-Induced Toxic Optic Neuropathy (TON)
Methanol is an industrial solvent used in windshield washer fluids, fuels, and antifreeze.
Even small amounts can lead to severe visual loss or permanent blindness.
๐งช Pathophysiology
- Methanol is metabolized in the liver to formic acid (formate)
- Formate accumulates in the optic nerve and retina
- It causes mitochondrial dysfunction, leading to:
- Axonal degeneration
- Optic nerve swelling
- Eventual optic atrophy
๐ง Symptoms & Course
- Early systemic signs:
- Nausea, vomiting, abdominal pain
- Visual scintillations (flashing lights)
- Ophthalmic features:
- Visual acuity decline, red-green color vision loss
- Central/cecocentral scotomas, bitemporal hemianopia
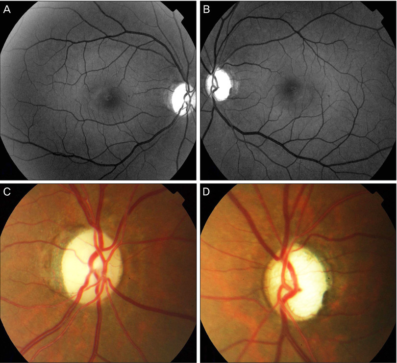
- Fundus findings:
- Optic disc swelling & hyperemia early
- Later: optic disc pallor, retinal arterial narrowing
- Progression to optic atrophy → legal blindness
๐ Diagnostic Tests
- OCT: Thinning of retinal nerve fiber layer
- FA (Fluorescein Angiography): Loss of optic disc vasculature
- VEP: Delayed P100 latency
- Color vision tests: Red-green dyschromatopsia


โ Treatment & Prognosis
InterventionPurpose
| Ethanol/Fomepizole | Inhibit methanol metabolism |
| Sodium Bicarbonate | Correct metabolic acidosis |
| Hemodialysis | Remove methanol and formate |
| High-dose IV steroids | Partial vision recovery in some cases |
| โ No established treatment for optic neuropathy |
โ Summary
- Methanol toxicity is a vision-threatening emergency
- Formic acid accumulation causes optic nerve damage
- Early diagnosis and metabolic treatment are key
- Ophthalmic recovery is often incomplete or poor
