Tistoryview
Disease&Treatment/Cornea&Ocular surfaces
What is Spheroidal Degeneration of the Cornea (SDC)?
eye_doc 2025. 4. 19. 17:26What is Spheroidal Degeneration of the Cornea (SDC)?
Spheroidal degeneration is a degenerative ocular condition characterized by the deposition of yellow-brown, globular proteinaceous material in the cornea and/or conjunctiva.
The term “spheroidal” implies a nearly spherical but imperfectly round appearance.
🔍 Alternate Names
- Climatic Droplet Keratopathy (CDK)
- Bietti’s nodular degeneration, Fisherman’s keratopathy, Labrador keratopathy
- Typically linked to UV exposure, chronic dryness, wind, and aging



🧬 Classification
TypeNameLocationCause
| Type I | Primary corneal type | Peripheral cornea (3 & 9 o’clock) | UV, wind, microtrauma, aging |
| Type II | Secondary corneal type | Any corneal area | Post-inflammatory (e.g., keratitis, NV) |
| Type III | Conjunctival type | Conjunctiva | UV exposure, usually coexists with Type I |
🧪 Clinical Features
- Subepithelial yellow-brown spheres
- With progression: Bowman’s layer and stroma involved
- Can cause blurred vision if central cornea is affected
- Conjunctival lesions may cause discomfort or foreign body sensation
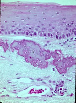
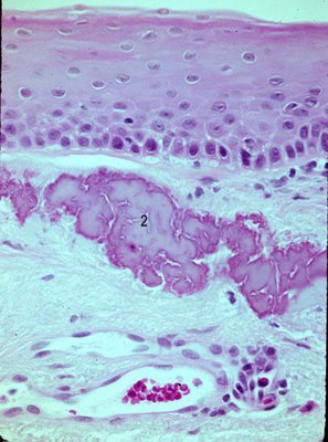
🧬 Histopathology
- Hyaline material deposits beneath the epithelium
- Extends to Bowman’s layer and stromal matrix in advanced stages
💊 Treatment
- Conjunctival lesions: Can be surgically excised if symptomatic
- Corneal lesions: Treated with
→ Superficial keratectomy or penetrating keratoplasty
→ Recurrence possible
✅ Summary
- UV- and age-related condition involving globular deposits in cornea or conjunctiva
- Classified into 3 types (corneal primary, corneal secondary, conjunctival)
- Vision-threatening in advanced stages
- Surgery can help, but recurrence risk remains
