Tistoryview
Disease&Treatment/Cornea&Ocular surfaces
Etiology, pathophysiology, diagnostic delay, characteristics and treatment of post-LASIK infection of keratitis due to nontuberculous mycobacteria (NTM)
eye_doc 2025. 4. 21. 23:25
.
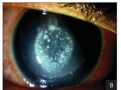
.Nontuberculous Mycobacterium (NTM) is a rare but critical pathogen in post-surgical infectious keratitis, especially after refractive surgeries like LASIK. Due to its slow growth and deep stromal localization, early detection is difficult and misdiagnosis as non-infectious DLK or viral keratitis is common.
๐น Microbial Profile & Pathogenesis
- NTM refers to all mycobacteria excluding M. tuberculosis and M. leprae.
- Mycobacterium chelonae (Runyon Group IV) is the most common species in ocular infections.
- These bacteria reside in air and water and can enter via surgical instruments, trauma, or topical steroids.
๐น LASIK-Associated Challenges
- Infection occurs under the LASIK flap, invisible on superficial exam.
- Specimen collection requires lifting the flap, which patients may resist.
- Diagnosis is delayed due to negative routine cultures, requiring acid-fast staining and special media.
- Delay + steroid use → infection worsens → potential flap necrosis or scarring → corneal transplant
๐น Treatment
- Early debridement and antimicrobial irrigation is crucial.
- Topical Amikacin or Clarithromycin in high concentrations recommended.
- Flap removal enhances drug penetration and clinical improvement.
๐ NTM Keratitis Summary Table (English)
CategoryKey Details
| Causative Organism | Mycobacterium chelonae (Runyon IV group) |
| Risk Factors | LASIK, trauma, CL use, steroid drops |
| Clinical Features | Slow progression, crystalline stromal deposits, sub-flap involvement |
| Diagnostic Barriers | Mimics DLK, negative routine cultures, needs special media/stains |
| Treatment Plan | Flap lifting, targeted antimicrobials (Amikacin/Clarithromycin), debridement |
| Prognosis | Late diagnosis → flap necrosis, scarring, possible full-thickness graft |
